牙周炎,是发生于牙周支持组织的慢性炎症,主要因为人们不良的口腔卫生习惯形成。由于在早期牙周炎症状不严重,导致很多人对牙周炎症状不重视,以为它们只是“上火”引起的,等到疾病变得严重起来,出现面部浮肿、发烧等症状时,才后悔没有及时遏制。牙周炎是是牙齿的一种慢性疾病,应该引起重视,给生活造成很大不便,应及时根据病情予以治疗。
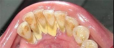
1牙齿有牙垢

生活中如果不注意口腔卫生,饭后不漱口或刷牙方式不当,会容易滋生细菌,从而形成牙垢。牙垢如果清除不去,就会慢慢演变为结石,给牙齿带来危害,终引发牙周炎。
2牙龈肿痛

急性炎症的发生,或会导致牙龈出现脓肿、肿痛的现象,它往往代表了下面局部的骨头有快而大量的破坏,所以一定要及早处理。
3持续性口臭

口臭也是牙周炎的一个典型症状。牙周炎的发生,会引起组织发炎,牙龈出血,口腔有害细菌产生的代谢产物会导致口臭的出现。
4牙龈出血

正常牙龈是不会出血的,如果刷牙或咬硬物时有出血症状,那么则是牙周炎的信号。如果你不刷牙不咬硬物也会出血,说明牙龈问题变严重了,此时要及时寻求医生的帮助。
5牙齿松动或脱落
牙周炎的发生会破坏牙周组织,从而造成牙齿支持力不足,终使牙齿出现松动,导致牙齿过早地自行脱落。
6牙缝变大

当你觉得牙缝逐渐变大,吃东西经常出现塞牙情况时,就要警惕牙周病了,因为牙周病的出现会使牙龈和下方牙槽骨退缩,使患者感觉牙缝越来越大。
牙周炎的临床表现有哪些:
早期症状不明显,患者常只有继发性牙龈出血或口臭的表现,与龈炎症状相似。检查时可见龈缘、龈乳头和附着龈的肿胀、质松软,呈深红色或暗红色,探诊易出血。随着炎症的进一步扩散,出现下列症状:
1、牙周袋形成:由于炎症的扩展,牙周膜被破坏,牙槽骨逐渐吸收,牙龈与牙根分离,使龈沟加深而形成牙周袋。可用探针测牙周袋深度。
2、牙周溢脓:牙周袋壁有溃疡及炎症性肉芽组织形成,袋内有脓性分泌物存留,故轻按牙龈,可见溢脓。并常有口臭。
3、牙齿松动:由于牙周组织被破坏,特别是牙槽骨吸收加重时,支持牙齿力量不足,出现牙齿松动、移位等现象。此时患者常感咬合无力、钝痛,牙龈出血和口臭加重。
当机体抵抗力降低、牙周袋渗液引流不畅时,可形成牙周脓肿,是牙周炎发展到晚期,出现深牙周袋的一个常见的伴发症状。此时牙龈呈卵圆形突起,发红肿胀,表面光亮;牙齿松动度增加,有叩痛;患者伴有局部剧烈跳痛。同时,患者可有体温升高、全身不适,颌下淋巴结肿大、压痛等症状。