俗话说:“南汤圆北水饺”中国古代对冬至很重视,冬至被当作一个较大节日,曾有“冬至大如年”的说法,而且有庆贺冬至的习俗。
说到冬至,你脑海里是不是立刻浮现出热气腾腾的“饺子”和“汤圆”呢?

可当你满心期待地咬下口时,有可能会当场石化——哎哟我天,牙好酸!
牙齿之于我们,大概就是那种“得不到的永远在骚动,被偏爱的都有恃无恐”,平日牙口好,也不太在意,可一旦出问题了……
冷热酸甜,都是考验。
相信很多人都有这样的体验,吃过冷过甜的食物,甚至有冷风,凉水进入到口腔中,牙齿会有酸痛的感觉,就会觉得是不是有虫牙了,但事实是你的牙齿变敏感了。
什么是牙齿敏感?

牙齿敏感在医学上称牙本质过敏,牙龈衰退导致在外面露着的牙本质受到冷热酸甜的刺激会传导到牙齿的神经中,从而会引起牙痛。
据统计每四个成年人就有两个有牙齿敏感的情况,特别是吃冷热食品或喝热饮料的时候,会感觉到牙疼,这就说明你已经有牙齿敏感了。
哪些原因会导致牙齿敏感?

01 牙隐裂

牙隐裂是在牙冠上面有细小、细微的裂纹,牙隐裂是因为内因跟外力咀嚼过力引起的,早期没有明显的症状,但慢慢严重了裂纹会越来越深,会伤到牙髓引起牙酸软,咬东西有疼痛感。
02 龋齿

如果有龋齿了,在刷牙喝水的时候牙齿有酸软的感觉了,那就证明你的龋齿已经发展到中等深度了,龋齿发展慢慢靠近牙髓的时候敏感的症状会更加明显,特别是在冷热刺激下有疼痛的感觉。
03 牙楔状缺损

刷牙的方法不正确,伤到牙龈部位,让牙质在外面暴露着,再加上有外来的刺激,导致牙齿有缺损的情况。
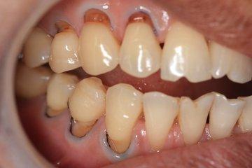
04 牙周炎

牙周炎到中晚期的时候了牙糟骨的吸收导致牙龈萎缩,牙根在外面暴露,从而失去保护牙齿的作用,在温度的刺激下容易有敏感的症状,感觉到牙齿酸软,在吃东西时候感觉到明显的无力。
定期做口腔检查,可以有效预防、及时治疗牙病。